Специалисты

01 03

Павел Колупаев

Главный врач

Специализация :

Ортопед, хирург-имплантолог

Подробнее

Татьяна Колупаева

Основатель клиники

Специализация :

Стоматолог высшей категории, терапевт, хирург

Подробнее

Марина Михеева

Ортодонт

Специализация :

Ортодонт, детский стоматолог, специалист в области функциональной стоматологии

Подробнее

Наши работы

01 03

На рефракторе

Бескаркасная керамика на рефракторе. Позволяет изменить форму и цвет зубов при минимальной толщине реставрации и глубины обработки зуба в пределах 0.1-0.2 мм. Работа выполнена в категории Премиум с Мастер техником

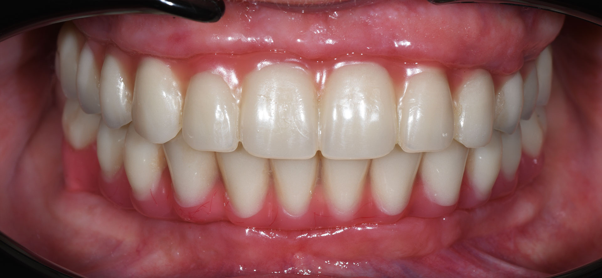
All on 4

Тотальная реабилитация пациента с генерализованным парадонтитом. В данном случае, при невозможности сохранения имеющихся у пациента зубов вследствие убыли костной ткани, была применена концепция All on 4 (Все на четырех). Решение было разработано, клинически доказано на примере нескольких сотен пациентов, наблюдавшихся в течение длительного периода времени и запатентовано, одной из ведущих компаний производителей имплантатов Nobel Biocare.

Виниры

Реабилитация пациента в эстетически значимой зоне. Нами была проведена замена композитных реставраций, так называемых "Виниров, изготовленных прямым способом" (врачом в кабинете из пломбировочного композитного материала), выполненной около 5 лет назад. Работа категории Стандарт.

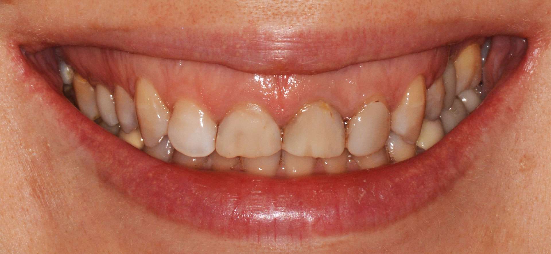
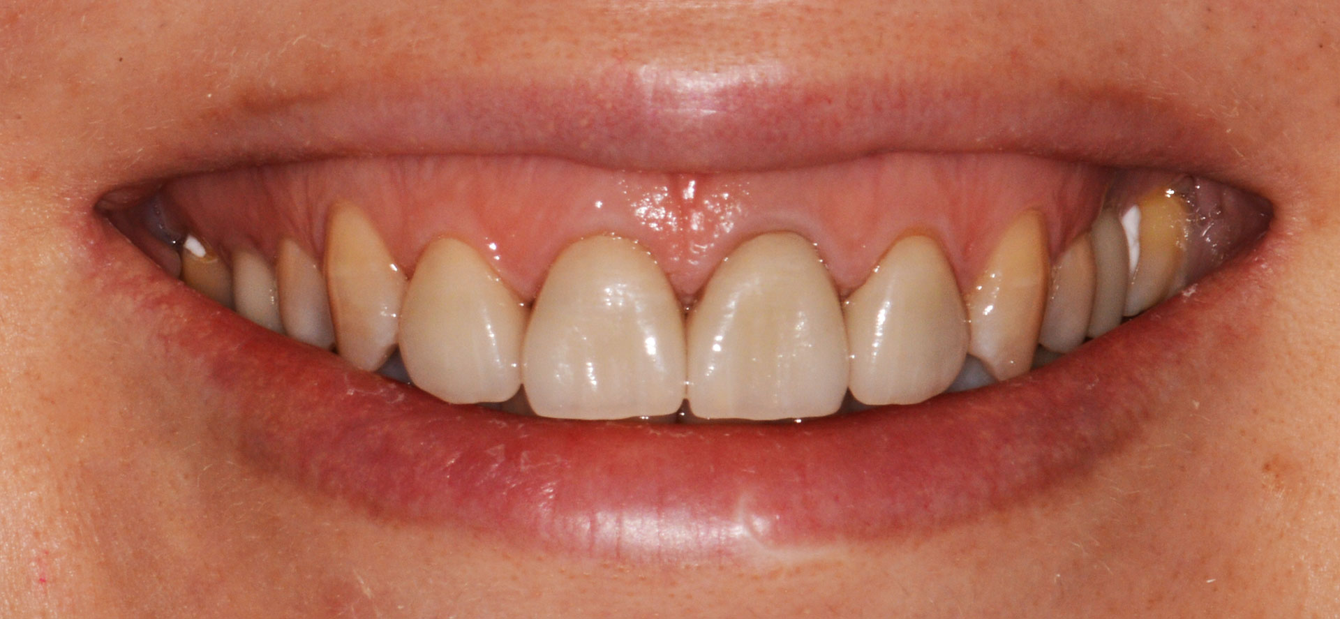
Реабилитация

Реабилитация пациента в эстетически значимой зоне. На этапе диагностики был проведен анализ и цифровое моделирование DSD (Digital Smile Design - Цифровой Дизайн Улыбки) и предложена "идеальная пропорция" зубов. Работа выполнена в категории Стандарт.

Детская стоматология

Лечим зубки

Качество
во всём

Семейная стоматология
в Красном Селе

Помогаем любимым
горожанам с 2003 года

01

Честность

Мы применяем только надёжные методики, объясняя целесообразность выбранного способа лечения. Честность — наш девиз не только в лечении, но и в ценах!

02

Долгосрочность

Наша задача — решить проблему так, чтобы она не беспокоила вас долгие годы. После лечения вам будет достаточно профилактики раз в три месяца.

03

Опыт

Формат семейной стоматологии — это постоянное повышение качества. Опыт позволяет нам успешно помогать людям уже 15 лет.

А вы знали?

В истории стоматологии масса
интересных фактов!

Мы собрали их
здесь для вас :)

00/00

75 %